Espace patient

Cas cliniques

#détartrage #blanchiment-dentaire
Cas 1
Détartrage complet suivi d’un blanchiment dentaire professionnel afin d’éliminer les taches et éclaircir la teinte des dents.
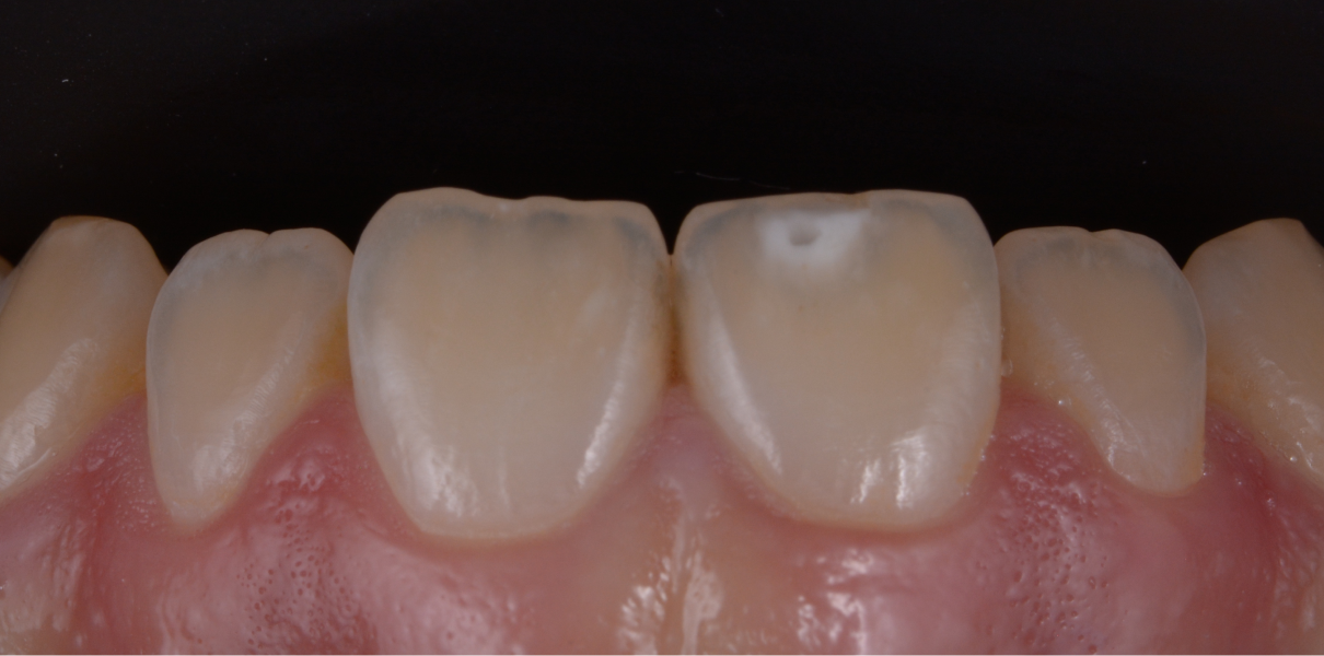
#restauration-esthétique
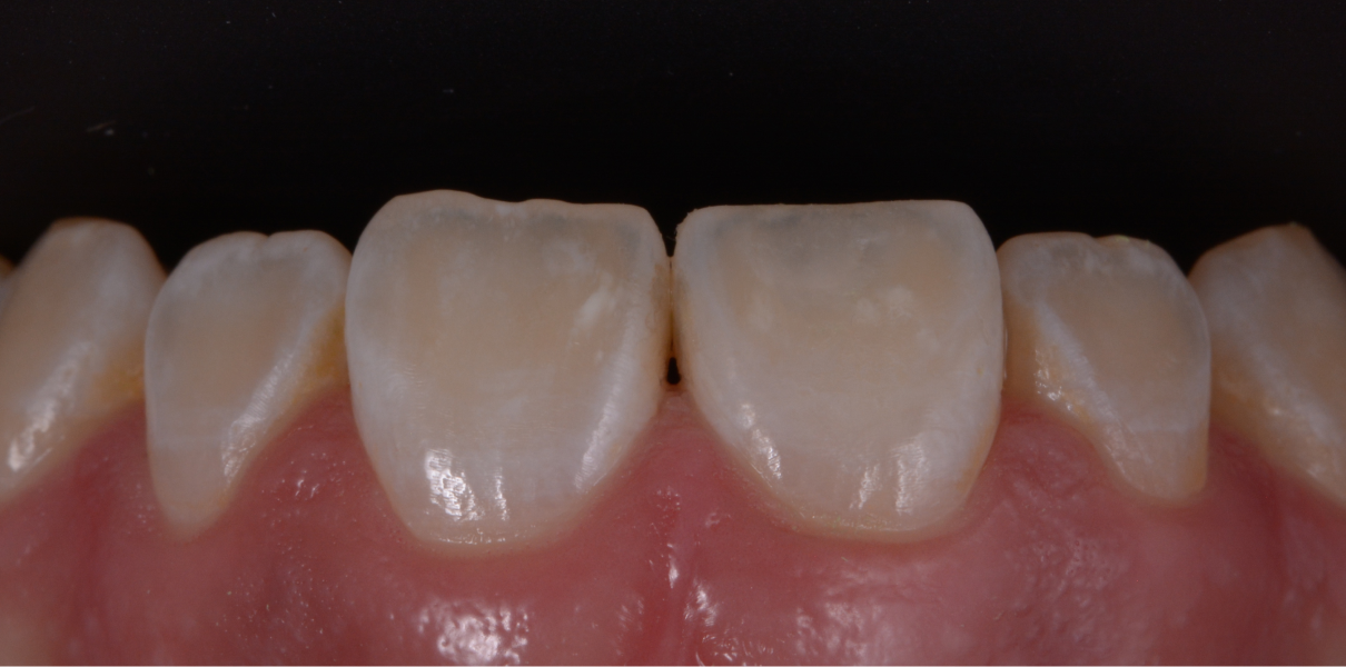
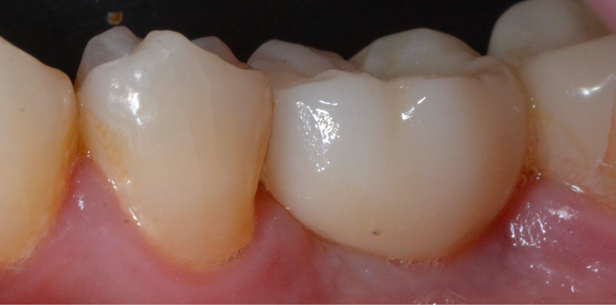
Cas 2
Nettoyage professionnel et restauration esthétique des incisives pour améliorer la forme, la couleur et l’harmonie du sourire.
#facettes
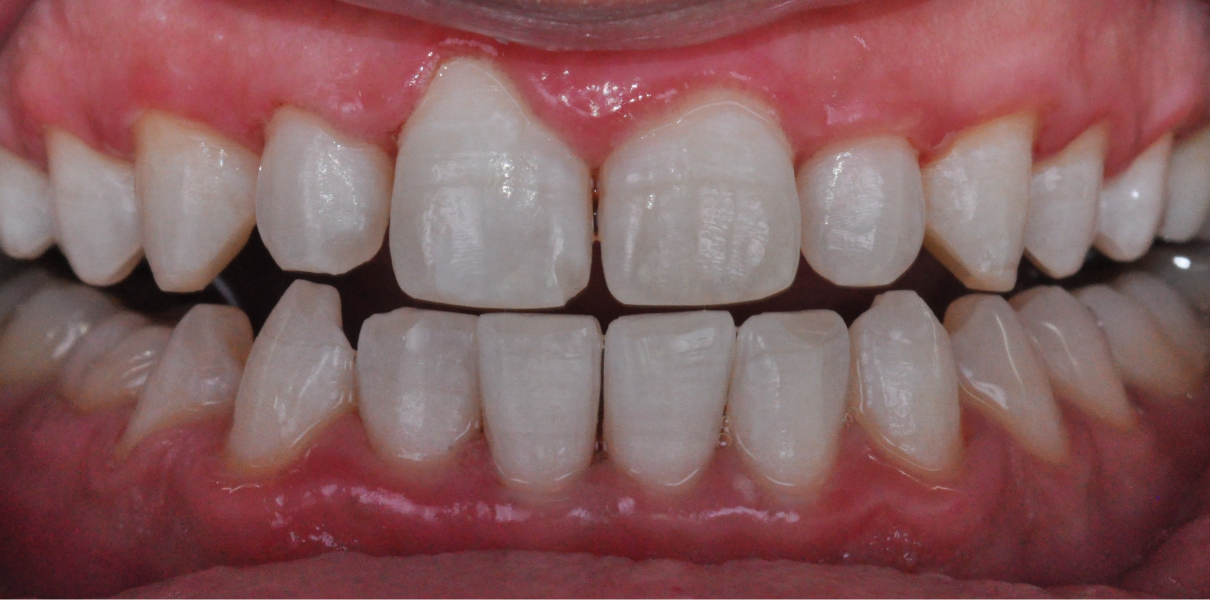
Cas 3
Pose de facettes pour améliorer la forme, l’alignement et l’esthétique du sourire.
#restauration-esthétique
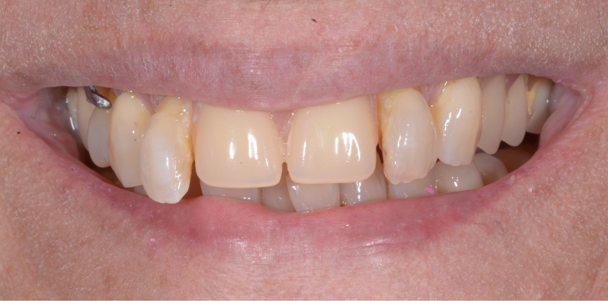
Cas 4
Amélioration esthétique des dents antérieures pour un sourire plus harmonieux et naturel.
#all-on-6
Cas 5
Réhabilitation implantaire complète type All-on-6 pour restaurer fonction et esthétique.
#couronne-sur-implant
Cas 6
Pose d’une couronne sur implant afin de remplacer la dent manquante et rétablir l’esthétique ainsi que la fonction masticatoire.
Ce site est enregistré sur wpml.org en tant que site de développement. Passez à un site de production en utilisant la clé remove this banner.